МИКРОСТРУКТУРА СВАРНОГО ШВА
2017-12-30
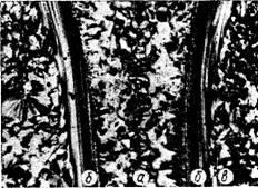
МИКРОСТРУКТУРА СВАРНОГО ШВА — строение сварного шва полимера, видимое под световым и электронным микроскопом, а также выявляемое дифракционными методами (см. рис.). Изучение М. с. ш. позволяет лучше понять суть процессов, происходящих в полимере при сварке непосредственно в зоне шва, а также в околошовной зоне.

Рис. Микроструктура стыкового сварного соединения листов полипропилена, наблюдаемая под световым микроскопом. В зоне шва (а) и в околошовной зоне (в) видны сферолитные образования. Микроструктура полимера, образующаяся при осадке, видна по границам проплавления (б)
rss
- Войдите или зарегистрируйтесь, чтобы получить возможность отправлять комментарии